
心エコー図検査(超音波検査)
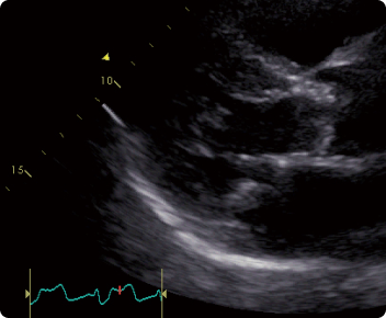
弁膜症診断で最も重要な検査です。弁の狭窄や逆流の有無とその程度、心臓肥大の程度や心機能がわかります。
心臓弁膜症と診断されたら、治療方針を決めるために、さらに詳しい検査を行います。心機能全体の状態や他の臓器への影響、合併症(心房細動、肺うっ血、心不全など)が併発しているかなども調べます。

弁膜症診断で最も重要な検査です。弁の狭窄や逆流の有無とその程度、心臓肥大の程度や心機能がわかります。

弁やその周りの石灰化、血液循環の状態を調べます。

不整脈の有無、心臓肥大の状態がわかります。

心臓の大きさや形を判断します。

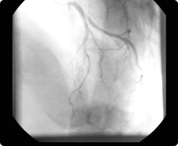
心臓やその周りの血管の形状や血液循環の状態を調べます。

心筋の血流状態や動きを調べます。